7 remèdes naturels contre l’inflammation de la gencive
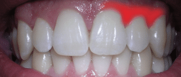
L’inflammation de la gencive, aussi appelée gingivite, est un gonflement et un saignement de la gencive causée par la plaque dentaire. C’est un problème bucco-dentaire fréquent, en effet elle concerne plus de 3/4 des personnes âgées entre 35 et 45 ans d’après une étude de l’OMS. Cette maladie est causée par un manque d’hygiène dentaire, … Lire la suite de 7 remèdes naturels contre l’inflammation de la gencive More
Copiez-collez cette URL dans votre site WordPress pour l’inclure
Copiez-collez ce code sur votre site pour l’y intégrer